Actualitate
Ce nu ai voie să faci după procedura de albire dentară

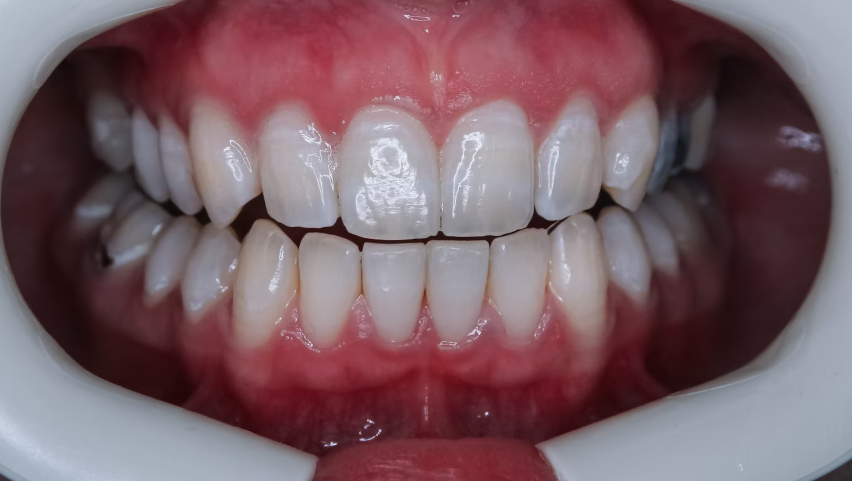
Albirea dinților este una dintre cele mai populare proceduri estetice în stomatologie, oferind un zâmbet mai strălucitor și mai sănătos. Totuși, pentru ca rezultatele să fie de durată și pentru a evita eventuale complicații, este esențial să respecți anumite recomandări după efectuarea tratamentului. Nerespectarea acestor indicații poate duce la sensibilitate dentară crescută, iritații ale gingiilor sau chiar pierderea efectului de albire.
Ce alimente și băuturi trebuie evitate
Imediat după albirea dentară, smalțul dinților este mai poros și mai susceptibil la absorbția pigmenților. De aceea, este recomandat să eviți consumul de alimente și băuturi care pot colora dinții, cum ar fi cafeaua, ceaiul, vinul roșu, sosurile intens colorate sau sucurile de fructe închise la culoare. De asemenea, evită fumatul, care afectează negativ nu doar culoarea dinților, ci și sănătatea generală orală.
De ce trebuie evitate procedurile dure pe dinți
După albirea dentară, este important să nu aplici presiune excesivă asupra smalțului pentru a preveni deteriorarea acestuia. Evită folosirea unor periuțe de dinți dure sau a produselor abrazive care pot afecta stratul protector al dintelui. De asemenea, în cazul în care ai aplicat fatetele, trebuie să ai grijă sporită deoarece acestea sunt sensibile la unele substanțe chimice și metode agresive de curățare, iar o neglijență poate duce la deteriorarea sau desprinderea lor.
Igiena orală adecvată după tratament
Menținerea unei igiene orale riguroase este esențială pentru a prelungi efectul de albire. Totuși, imediat după procedură, trebuie să folosești o periuță moale și să eviți periajul prea energic care poate provoca iritații sau sensibilitate. Este recomandat să utilizezi paste de dinți speciale, fără substanțe abrazive puternice, care să protejeze smalțul și să nu compromită rezultatul albiri.
Evitarea temperaturilor extreme
După albirea dintilor, smalțul poate fi temporar sensibil, iar expunerea la alimente sau băuturi foarte calde sau foarte reci poate accentua această sensibilitate. Este indicat să eviți consumul de produse la temperaturi extreme pentru câteva zile după tratament. Astfel, vei preveni disconfortul și vei proteja integritatea smalțului în perioada de recuperare.
Recomandări suplimentare pentru rezultate durabile
Pentru a păstra cât mai mult timp efectul albitor, este bine să programezi controale regulate la medicul stomatolog și să discuți despre posibile retușuri. De asemenea, evită obiceiurile care pot afecta negativ culoarea dinților, cum ar fi consumul excesiv de zaharuri sau lipsa unei igiene orale corecte. Dacă porți fatetele, menținerea unei bune igiene este și mai importantă, deoarece acestea pot fi mai predispuse la acumularea plăcii bacteriene dacă nu sunt curățate corespunzător.
Produsele de îngrijire interzise temporar
După tratamentul de albire, anumite produse de îngrijire orală ar trebui evitate pentru o perioadă scurtă. Apa de gură care conține alcool poate irita gingiile și accentua sensibilitatea. De asemenea, produsele pentru albirea acasă – precum benzile sau gelurile – nu trebuie folosite în perioada imediat următoare procedurii profesionale, deoarece pot suprasolicita smalțul. Consultă medicul stomatolog înainte de a reintegra orice produs specific în rutina ta, pentru a nu compromite rezultatele obținute și pentru a evita posibile efecte adverse asupra dinților tratați.
Actualitate
Cum ajută Hidrogeofor localitățile din jurul Capitalei să aibă apă curată și constantă

Apa curată devine o prioritate în Ilfov
De la Cernica la Snagov, de la Pantelimon la Bragadiru, tot mai mulți locuitori ai județului Ilfov aleg să își asigure propria sursă de apă curată prin foraje profesionale.
Creșterea numărului de gospodării noi și a nevoii de independență față de rețelele publice au făcut ca forajele de puțurisă fie o soluție tot mai căutată — atât pentru uz casnic, cât și pentru irigații sau activități industriale.
De ce sunt importante forajele executate corect?
Un foraj bine realizat nu înseamnă doar o gaură în pământ, ci un sistem sigur de captare a apei din stratul freatic sau din acvifere mai adânci.
De calitatea execuției depind durata de viață a puțului, puritatea apei și debitul obținut. În zonele din Ilfov, unde structura solului variază mult de la o localitate la alta, experiența și utilajele folosite fac diferența între un foraj reușit și unul problematic.
Hidrogeofor – 20 ani de experiență în foraje puțuri în Ilfov și București
Compania Hidrogeofor, specializată în foraje puțuri de alimentare cu apă și pompe de căldură, a realizat sute de lucrări în județul Ilfov, acoperind localități precum Cernica, Snagov, Pantelimon, Voluntari, Popești-Leordeni, Otopeni, Corbeanca, Bragadiru, Măgurele, Buftea și multe altele.
„Fiecare teren are particularitățile lui — la Cernica solul e nisipos, la Snagov găsim straturi mai dure, iar în Pantelimon apar variații de adâncime între 25 și 40 de metri. De aceea, adaptăm permanent soluția de foraj, ca să garantăm apă sigură, debit constant și o lucrare durabilă.”
— explică un reprezentant al echipei Hidrogeofor
Cum decurge un foraj complet?
Procesul începe cu o evaluare hidrogeologică a zonei și se finalizează cu testul de pompare și montarea pompei submersibile.
Durata medie a execuției este de 1–3 zile, iar lucrările vin cu garanție completă.
Pentru gospodării, ferme sau mici afaceri, un foraj bine făcut poate asigura autonomie totală la alimentarea cu apă, fără dependență de rețelele publice.
Soluții și întreținere în timp
Pe lângă execuția propriu-zisă, echipa Hidrogeofor oferă servicii de denisipare, colmatare și mentenanță periodică, astfel încât puțul să rămână funcțional și eficient pe termen lung.
Clienții pot apela și pentru foraje pompe de căldură geotermale, tot mai cerute în contextul creșterii interesului pentru energie verde.
Localitățile din Ilfov unde se lucrează constant
- Cernica, Berceni, Popești-Leordeni– acvifere de medie adâncime, apă curată pentru gospodării
- Snagov, Corbeanca, Otopeni– straturi mai adânci, apă de calitate ridicată
- Pantelimon, Voluntari, Tunari– lucrări rapide, zone de dezvoltare intensă
- Buftea, Bragadiru, Măgurele– foraje pentru locuințe, pensiuni și mici afaceri
Tehnologie, experiență, încredere
Succesul unui foraj nu ține doar de adâncime, ci de tehnologia folosită și experiența echipei. Hidrogeofor lucrează cu utilaje moderne, materiale certificate și oferă consultanță înainte și după finalizarea lucrării.
Cei interesați pot solicita o ofertă personalizată direct pe site www.hidrogeofor.rosau telefonic la 0792 335 577.
Actualitate
Novakid.ro aduce în atenția școlilor un program menit să facă predarea limbii engleze o experiență autentică și interactivă

Limba engleză a devenit mai mult decât un instrument de comunicare, iar deprinderea ei de la vârste fragede facilitează accesul la resurse academice, face posibil studiul în străinătate, încurajează dezvoltarea profesională, oferind totodată șansa de a cunoaște noi culturi și tradiții.
Din dorința de a ajuta școlile să consolideze competențele lingvistice ale copiilor și încrederea lor în vorbire, Novakid, platforma online premiată pentru predarea englezei ca limbă secundară (ESL), a lansat programul de practică pentru sălile de clasă, sub titulatura English Speaking Practice for Schools. Parteneriatul oferă instituțiilor educaționale instrumentele de care au nevoie pentru a crea spații de comunicare creative și pline de energie, în care elevii își valorifică potențialul – cu repere academice clare.
Sprijin în dezvoltarea competențelor lingvistice
Calitatea și fiabilitatea lecțiilor sunt asigurate de un grup de 100 de profesori, vorbitori nativi de engleză, cu înaltă calificare. Conceptul susține juniorii în creșterea nivelului de pregătire cu ajutorul cursurilor de grup, care îi transformă pe cei timizi în participanți activi prin dezbateri, povești și lucru în echipă. De asemenea, acesta implică formate de studiu adaptate vârstei, cu sesiuni personalizate: 25 de minute pentru elevii mici și 45 de minute pentru cei mai mari, interesul și implicarea fiind menținute la fiecare etapă.
„Misiunea noastră a fost întotdeauna să democratizăm educația în limba engleză și să o facem accesibilă copiilor de pretutindeni”, spune Max Azarov, CEO Novakid. „Acest produs ne oferă oportunitatea de a colabora direct cu școlile și de a le pune la dispoziție cadrelor didactice instrumentele de care au nevoie pentru a crea săli de clasă în care limba engleză prinde viață”.
Programul a fost conceput astfel încât să răspundă la două obiective esențiale, rigoare academică și dezvoltare holistică, fiind deja testat cu succes în Turcia și Polonia, unde a primit recenzii îmbucurătoare de la profesori și părinți. El se bazează pe o abordare aliniată la CEFR (Cadrul European Comun de Referință pentru Limbi), pentru un progres măsurabil în raport cu standarde internaționale recunoscute pentru vorbire, ascultare și citire, validate prin evaluări formative. Pe durata lecțiilor, cadrele didactice Novakid utilizează metoda de răspuns fizic total (TPR) pentru a stimula comunicarea în timp real, iar lecțiile gamificate sunt create de specialiști ESL pentru a asigura implicarea.
Lecțiile, adaptate în funcție de grupa de vârstă
English Speaking Practice for Schools se împarte pe 3 categorii, din dorința de a răspunde nevoilor unice ale fiecărei grupe de vârstă:
- Beginners (4-6 ani): predarea se face cu ajutorul metodei TPR, îmbinând jocuri interactive de vorbire, ascultare și gesturi.
- Starters (7-9 ani): include exerciții de vorbire și ascultare, interviuri între colegi și jocuri de rol. Această grupă beneficiază de misiuni tematice și de integrarea vocabularului referitor la mâncare și îmbrăcăminte cu structuri gramaticale.
- Elementary: include toate practicile nivelului Starters, alături de sarcini de rezolvare a problemelor pentru aplicarea gramaticii și a termenilor de comunicare digitală.
Fiecare lecție dezvoltă abilități practice de vorbire, profesorii ghidând copiii și menținându-le interesul pe tot parcursul orelor. La finalul programului, juniorii primesc certificate de merit, școlile având ocazia să le personalizeze cu propriul logo. Pentru a sprijini învățarea constantă, Novakid pune la dispoziție și rapoarte automate de progres după fiecare ciclu, oferind cadrelor didactice și părinților o imagine clară asupra evoluției elevilor, fără a adăuga sarcini administrative suplimentare.
Strategii educaționale potrivite nevoilor prezentului
Lansarea English Speaking Practice for Schoolssubliniază angajamentul Novakid față de inovația în educație, ajutând unitățile de învățământ să răspundă cererii globale de abilități de comunicare, creativitate și încredere. Cu o echipă de peste 3.100 de profesori calificați, Novakid continuă să își extindă oferta pentru a răspunde atât nevoilor cursanților individuali, cât și celor ale partenerilor instituționali.
„Școlile caută soluții care să consolideze încrederea elevilor, asigurând în același timp rezultate măsurabile. Programul nostru de practică a vorbirii face ambele lucruri: le oferă copiilor curajul să își folosească vocile, respectând totodată standardele academice”, punctează Max Azarov.
Instituțiile de învățământ interesate pot trimite un mesaj la adresa partners@novakidschool.com pentru mai multe informații referitoare la cum pot să beneficieze de acest program de practică de grup.
Despre Novakid
Novakid este o școală online de engleză, recunoscută la nivel internațional și desemnată câștigătoare a premiului „Digital Language Learning Product of the Year” la Digital Education Awards. De la lansarea sa din 2017 și până în prezent, 1.000.000 de cursanți au parcurs cel puțin o lecție în cadrul platformei Novakid.
Predarea se face cu ajutorul unor metode moderne, precum TPR (metoda răspuns fizic total), ce presupune folosirea expresiilor faciale și gesturilor. Metoda unică Novakid de evaluare a progresului (peste 1.500 de parametri, testare A/B și alte componente ale unei abordări bazate pe analiza datelor) permite profesorilor să adapteze programul în funcție de nevoile și interesele individuale ale copiilor.
Actualitate
Cum să alegi fungicidele potrivite pentru grădina ta: 5 sfaturi de la specialiști

Grădina ta este un mic colț de natură, iar sănătatea plantelor este esențială pentru a te bucura de roadele muncii tale. Una dintre cele mai mari provocări în grădinărit este combaterea bolilor cauzate de ciuperci. Aici intervin fungicidele, produse care protejează plantele împotriva acestor agenți patogeni. Totuși, alegerea fungicidului potrivit poate fi un proces copleșitor, având în vedere diversitatea produselor disponibile pe piață. De aceea, am pregătit câteva sfaturi care te vor ajuta să iei cea mai bună decizie pentru grădina ta.
1. Înțelege tipurile de fungicide
Primul pas în alegerea corectă a fungicidelor este să înțelegi că există două tipuri principale: fungicidele de contact și fungicidele sistemice. Fungicidele de contact acționează doar pe suprafața plantei, protejând-o de agenții patogeni care intră în contact direct cu soluția aplicată. Acestea sunt eficiente mai ales în cazul în care infestarea este la început.
Pe de altă parte, fungicidele sistemice sunt absorbite de plantă și circulă prin seva ei, oferindu-i protecție din interior. Un astfel de fungicid este ideal pentru bolile care s-au răspândit deja în țesuturile plantei, asigurând o protecție de lungă durată. Un exemplu comun de utilizare a fungicidelor sistemice este în cazul manei sau a făinării, două dintre cele mai frecvente boli ale plantelor.
2. Alege un fungicid în funcție de cultură
Nu toate fungicidele sunt universale. Unele sunt special formulate pentru anumite tipuri de plante sau culturi. Un fungicid eficient pentru pomii fructiferi poate să nu fie la fel de bun pentru legume. Identifică bolile specifice cu care te confrunți și verifică eticheta produsului pentru a te asigura că acesta este recomandat pentru culturile din grădina ta. Dacă ai o grădină diversificată, ar putea fi util să optezi pentru un fungicid cu spectru larg, care oferă protecție împotriva mai multor tipuri de boli.
Totodată, trebuie să ții cont și de perioada în care vei aplica fungicidul. Unele produse sunt mai eficiente în faza de creștere a plantei, în timp ce altele trebuie aplicate la începutul sezonului, pentru prevenție. De exemplu, tratamentele de primăvară sunt esențiale pentru pomii fructiferi, când riscul de infecții este mai mare.
3. Citește eticheta și respectă doza recomandată
Atunci când aplici fungicide, urmează instrucțiunile producătorului, inclusiv dozele recomandate. Aplicarea unei cantități prea mici poate fi ineficientă, în timp ce utilizarea unei doze prea mari poate afecta negativ plantele și mediul înconjurător.
Fungicidele sunt produse chimice, iar utilizarea necorespunzătoare poate duce la dezvoltarea rezistenței agenților patogeni. De aceea, alternează diferitele tipuri de fungicide și nu utiliza același produs pe o perioadă lungă de timp. În plus, verifică termenul de valabilitate al produsului; fungicidele expirate pot pierde din eficiență și chiar dăuna plantelor tale.
4. Acordă atenție impactului asupra mediului
În alegerea unui fungicid potrivit, este bine să iei în considerare și efectele asupra mediului. Există fungicide pe bază de substanțe chimice sintetice, dar și variante ecologice, pe bază de ingrediente naturale, care sunt mai prietenoase cu mediul și mai sigure pentru polenizatori precum albinele.
Dacă te preocupă sănătatea grădinii tale și a ecosistemului din jur, poți opta pentru fungicide bio, care au un impact mai mic asupra solului și a apei. În plus, acestea sunt o alegere excelentă pentru grădinile în care cultivi plante comestibile, cum ar fi legumele și fructele.
5. Consultă un specialist sau un grădinar experimentat
Dacă nu ești sigur ce fungicid este cel mai potrivit pentru grădina ta, nu ezita să ceri ajutor. Un specialist în agricultură sau un grădinar cu experiență îți poate oferi recomandări personalizate în funcție de tipul de sol, plantele pe care le ai și climatul specific regiunii tale. Ei îți pot sugera produse testate și metode de aplicare eficiente, asigurându-te că vei obține cele mai bune rezultate fără a compromite sănătatea plantelor sau a mediului.
Alegerea fungicidului potrivit pentru grădina ta nu trebuie să fie o provocare copleșitoare. Cu un pic de cunoștințe și atenție, poți proteja plantele de bolile fungice și le poți asigura o dezvoltare sănătoasă. Ține cont de tipurile de fungicide disponibile, de cultura pentru care sunt destinate, dar și de modul corect de aplicare și de impactul asupra mediului. În acest fel, vei putea să-ți păstrezi grădina în cea mai bună formă, bucurându-te de plante sănătoase și recolte bogate, fără stresul unor infestări. Nu uita, un mic ajutor din partea unui specialist poate face diferența între o grădină afectată de boli și una plină de viață!
-
Politicaacum 2 zile
România, între tăcere și oportunitate ratată – analiza unui moment diplomatic controversat. Claudiu Târziu: ”O nouă dovadă de incompetență diplomatică!”
-
Politicaacum 3 zile
Unul dintre cei mai apropiați oameni de Trump are un mesaj special pentru România: „Țara voastră va avea un rol esenţial”
-
Comunicateacum 3 zile
Carmen Târnoveanu și Echipa Binelui lansează “Conferințele Binelui” – un spațiu de dialog despre valori, curaj și oameni care schimbă lumea
-
Politicaacum 2 zile
România, un pilon de stabilitate la granițele Europei. După intrarea în Schengen, eforturile MAI consolidează securitatea Uniunii
-
Actualitateacum 2 zile
Cum ajută Hidrogeofor localitățile din jurul Capitalei să aibă apă curată și constantă
-
Comunicateacum 3 zile
Claudiu Trandafir, fondatorul OferteBancare.ro: „Gimnastica românească merită un nou început”
-
Comunicateacum 3 zile
Suzuki prezintă viitorul mobilității la Japan Mobility Show 2025: „By Your Side” – mereu alături de tine, în mișcare către un viitor sustenabil
-
Comunicateacum 2 zile
Unde găsești dulciuri românești autentice în magazinele din UK?