Actualitate
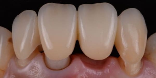
Coroana dentara la mare cautare
Coroana dentara la mare cautare
Coronoplastia este folosita atunci cand culoarea si structura dintelui nu sunt armonioase si necesita o corectie. Coroana dentara este cel mai adesea folosita in cazul dintilor uzati. Cu ajutorul acestei tehnici, medicul dentist reuseste sa pastreze dintele original si sa il intareasca cu ajutorul unei coroane.
Ce este o coroana dentara?
Coroana dentara reprezinta o lucrare protetica pe care medicul dentist o aseaza pe un dinte pentru a repara partea vizibila a dintelui. Aceasta coroana care acopera dintele deteriorat ii reda acestuia forma naturala, marimea si functia. Permite modificarea nu doar a culorii dar si a formei si a pozitiei dintelui. De notat este faptul ca, odata aplicate, coroanele dentare pot fi supuse fara probleme procesului de albire a dintilor, asemeni dintilor naturali.
De ce ai nevoie de o coroana dentara?
Daca alegi cabinetul Dr.Durbac acesta iti va sugera aplicarea unei coroane dentare in urmatoarele conditii:
- Daca dintele este devitalizat: coroana va proteja astfel tesuturile ramase;
- Daca dintele este rupt intr-o parte vizibila;
- Daca ai nevoie de un pod dentar care nu este foarte sanatos: coroana dentara serveste drept sprijin pentru un pod dentar;
- Daca dintele are un aspect estetic care nu iti mai convine;
Diferitele tipuri de coroane dentare
Coroana din metal este constituita dintr-un aliaj de Crom-Nickel sau titan in cazul persoanelor alergice la nickel. Acest tip de coroana dentara este rezistenta, are o durata lunga de viata insa nu este foarte estetica.
Coroana ceramica este constituita integral din ceramica, prezentand un mare atu estetic. Nu este atat de solida si este cea mai scumpa din toate tipurile de coroane dentare.
Coroana ceramo-metalica are o baza metalica si restul din ceramica, este mai estetica si mai rezistenta. Insa, de-a lungul timpului, lasa sa se intrevada baza metalica.
Cum se aplica coroana dentara?
Datorita unei radiografii, medicul dentist va putea determina daca dintele este devitalizat sau nu. Apoi, se trece la pregatirea coroanei dentare, sculptand-o, pentru a facilita purtarea acesteia. Daca dintele este extrem de devitalizat, va trebui sa efectueze o reconstructie a partii care lipseste, realizand un inlay-core. Apoi se realizeaza o amprenta pentru a reproduce un model exact al dintelui pe care se construieste coroana. Pana cand coroana dentara este gata se va aplica o coroana provizorie timp de doua-trei saptamani.
Pretul unei coroane dentare
Oricine isi doreste sa apeleze la aceasta tehnica trebuie sa cunoasca si pretul. Astfel, daca cauti pe Internet coroana dentara pret vei vedea ca, in general, o coroana dentara costa intre 500-2500 lei, pretul variaza in functie de materialul din care este realizata coroana dentara.
Actualitate
Alexandra Căpitănescu, după performanța la Eurovision 2026: „Cu toții am făcut asta! Recunoscătoare și emoționantă”
Alexandra Căpitănescu a reacționat spumos pe Facebook după ce obținut locul 3 la Eurovision 2026, unde a acumulat 296 de puncte, cel mai mare scor obținut vreodată de țara noastră într-o finală a celebrei competiții.
„Noi am făcut asta! Cu toții am făcut asta! Recunoscătoare și emoționantă pentru seară asta! Să zguduim lumea!”, a scris artista, duminică, pe Facebook.
Alexandra Căpitănescu a postat și un clip în care face aluzie la surpriza de care au avut parte cei care n-o vedeau atât de sus.
„Dumnezeule, ești atât de frumoasă! Câți ani ai? România în top 3, în finala Eurovision?! Asta e de-a dreptul nebunesc! Oh, Dumnezeule…”.
Alexandra și echipa sa. FOTO FB Alexandra Căpitănescu
Finala Eurovision 2026, organizată la Viena, a fost marcată de o competiție strânsă, un interes public ridicat și o prezență puternică a țărilor din Europa Centrală și de Est.
Amintim că Alexandra Căpitănescu a urcat pe scenă cu numărul 24 și a încheiat competiția pe locul al treilea. Dacă juriile au tratat piesa României cu reținere, publicul european a votat masiv pentru Alexandra Căpitănescu, ea obținând 232 de puncte la televot și un total 296, unul dintre cele mai mari scoruri ale serii, iar acest val de susținere a ridicat România până pe podiumul competiției.
Cea mai mare surpriză neplăcută a venit din Republica Moldova, țară de la care publicul din România se aștepta la un sprijin consistent. Cele doar 3 puncte acordate de juriul moldovean au provocat reacții intense, inclusiv peste Prut, unde mulți spun că decizia nu reflectă votul publicului.
Trofeul a fost câștigat de Bulgaria, cu piesa „Bangaranga”, interpretată de artista Dara.
Pe locul al doilea s‑a clasat reprezentantul Israelului, care a beneficiat din nou de un televot masiv, în ciuda protestelor și controverselor internaționale.
Pentru România, rezultatul este unul istoric: Alexandra Căpitănescu a acumulat, în total 296 de puncte, cel mai mare scor obținut vreodată de țara noastră în finala Eurovision.
Actualitate
Ce rol au conversațiile despre Dumnezeu în educația copiilor
Felul în care părinții discută despre credință cu cei mici poate avea un impact mai mare decât simpla prezență la slujbă, în biserică, arată un studiu publicat în Journal for the Scientific Study of Religion. Cercetarea, realizată pe mai bine de 16.000 de persoane arată cum dialogul constant despre credință și exemplul oferit în familie ne influențează semnificativ viața la maturitate.
Sursă foto: Shutterstock
Participanții care au declarat că au avut conversații frecvente despre credință cu părinții lor în copilărie merg mai des la slujbe ca adulți, discută mai mult despre religie cu proprii lor copii și raportează un sentiment mai puternic de apartenență la comunitatea religioasă.
Coordonată de cercetătoarea Julia S. Nakamura, analiza a urmărit modul în care experiențele din copilărie ne influențează viața religioasă de la maturitate. Cercetătorii au luat în calcul mai mulți factori: relația copiilor cu părinții, stabilitatea familiei, frecvența participării la slujbe religioase și cât de des se discutau în casă teme legate de credință.
Concluziile studiului arată că educația religioasă nu se rezumă la mersul la biserică. Mai importantă pare să fie relația construită în familie și dialogul constant dintre părinți și copii despre valorile religioase, acestea având un rol esențial în felul în care credința este transmisă de la o generație la alta.
Cum ar fi bine să vorbim despre credință cu adolescenții
Caradel Elena Alina, profesoară de religie, explică pentru „Adevărul” că educația religioasă începe în familie și este susținută în primul rând prin comportamentul părinților.
„În opinia mea, copilul trebuie să primească educația religioasă de mic, din familie, iar cel mai important rol îl are exemplul personal. Chiar dacă micuții nu înțeleg prea multe, ei văd ce se petrece și imită comportamentul părinților”, a declarat aceasta.
Potrivit spuselor profesoarei, copiii crescuți într-un mediu în care rugăciunea și valorile religioase sunt prezente vor căuta, odată cu maturizarea, să înțeleagă mai bine dimensiunea morală și spirituală a credinței.
„Contează foarte mult să primească modele bune din familie și aici avem exemple din viețile sfinților, care erau îndrumați de părinți credincioși sau de bunici, cum ar fi Sfântul Ierarh Vasile cel Mare”, a mai explicat ea.
Studiul arată că persoanele apropiate de părinții lor se simt, în general, mai conectate la comunitatea religioasă și spun că le este mai ușor să ierte. Totodată, cei care au avut în familie discuții frecvente despre credință au ajuns să vorbească despre aceste lucruri și cu propriii copii.
Caradel Elena Alina spune că adolescența este una dintre perioadele în care părinții trebuie să acorde mai multă atenție felului în care discută cu copiii despre credință, mai ales că mulți tineri încep tocmai în această perioadă să pună sub semnul întrebării practicile religioase.
„Mai ales în adolescență este foarte important să nu fie obligat cu privire la mersul la biserică, postul și rugăciunea, ci trebuie purtate discuții cu mult calm, atenție la cuvinte și rugăciunea venită din inimă”, a afirmat profesoara.
Ea consideră că părinții trebuie să transmită credința prin propriul exemplu și printr-o relație bazată pe echilibru și răbdare.
„Roagă-te tu, ca părinte, pentru copilul tău și el îți va urma exemplul chiar dacă la vârsta adolescenței intervine un spirit mai rebel”, a mai declarat aceasta pentru „Adevărul”.
Datele cercetării indică și faptul că persoanele care au crescut în familii stabile și au avut relații bune cu părinții tind să manifeste o implicare religioasă mai mare la maturitate. De altfel, Caradel Elena Alina subliniază că discuțiile despre credință nu reprezintă un proces limitat la copilărie. „Discuțiile despre Dumnezeu nu se termină într-un an sau doi, ci durează pe tot parcursul vieții”, a mai spus Caradel Elena Alina.
Actualitate
Horoscop duminică, 17 mai. Nativii unei zodii au oportunitatea să câștige bani din activități personale
Lorina, astrologul Click!, vine cu predicțiile complete pentru toate cele 12 semne zodiacale, pentru ziua de duminică, 17 mai.
FOTO Pixabay
Berbec
Iubire – Ziua aduce tensiuni constructive în plan sentimental. Berbecii simt nevoia să spună lucrurilor pe nume, chiar dacă unele adevăruri pot crea mici conflicte. În cuplu, partenerul poate cere mai multă implicare emoțională, iar lipsa de răbdare poate amplifica discuțiile. Totuși, sinceritatea este cheia care poate repara orice neînțelegere.
Sănătate – Energia este oscilantă, cu momente de entuziasm urmate de oboseală bruscă. Este important să nu îți forțezi limitele și să acorzi atenție semnalelor corpului. Stresul mental poate provoca dureri de cap sau agitație interioară.
Bani – Apar cheltuieli neplanificate, posibil legate de casă sau deplasări. Totuși, există și o idee financiară bună care merită analizată pentru viitor.
Taur
Iubire – Taurii caută stabilitate și siguranță emoțională. În cuplu, ziua favorizează discuțiile despre viitor și consolidarea relației. Partenerul are nevoie de dovezi clare de afecțiune, nu doar de promisiuni.
Sănătate – Starea generală este bună, însă pot apărea sensibilități digestive sau oboseală ușoară. Este recomandat să eviți excesele alimentare și să îți menții un ritm echilibrat. Plimbările în aer liber sau activitățile relaxante îți pot stabiliza energia.
Bani – Apar discuții importante despre buget și economii. Este o zi bună pentru reorganizarea finanțelor și pentru stabilirea unor priorități clare. Pot apărea și întârzieri minore în încasări.
Gemeni
Iubire – Comunicarea este esențială. Gemenii pot avea discuții decisive în relații, care clarifică neînțelegeri mai vechi. Tot ce a fost evitat până acum poate ieși la suprafață. Cei singuri au parte de flirturi interesante și conversații captivante, dar fără garanții pe termen lung.
Sănătate – Mintea este foarte activă, ceea ce poate duce la oboseală psihică și lipsă de concentrare. Este important să îți iei pauze și să eviți suprasolicitarea. Somnul de calitate este esențial pentru refacere.
Bani – Apar idei noi de colaborări sau proiecte, însă trebuie analizate atent. Graba poate duce la decizii neinspirate, așa că verifică detaliile.
Rac
Iubire – Emoțiile sunt profunde și intensificate. Racii simt nevoia de apropiere și siguranță emoțională. În cuplu, pot apărea discuții sensibile, dar constructive. Cei singuri pot fi atrași de persoane empatice, cu energie calmă și protectoare.
Sănătate – Este o zi în care ai nevoie de liniște și retragere. Stresul poate fi resimțit mai puternic, așa că evită aglomerația și situațiile tensionate. Odihna și relaxarea emoțională sunt prioritare.
Bani – Situația financiară este stabilă, dar nu favorizează riscurile. Este indicat să amâni deciziile importante și să păstrezi prudența.
Leu
Iubire – Leii sunt în centrul atenției și atrag ușor privirile celor din jur. În cuplu, însă, orgoliul poate crea mici tensiuni dacă nu este gestionat cu maturitate. Cei singuri au șanse mari să fie remarcați într-un context social sau profesional.
Sănătate – Vitalitatea este bună, dar există tendința de a exagera sau de a te implica în prea multe activități. Este important să îți dozezi energia și să eviți suprasolicitarea.
Bani – Posibile câștiguri din proiecte creative sau activități personale. Este o zi bună pentru afirmare și vizibilitate profesională.
Fecioară
Iubire – Relațiile cer răbdare și flexibilitate. Critica excesivă poate crea distanță între tine și partener. Este o zi bună pentru a asculta mai mult și a analiza mai puțin.
Sănătate – Oboseala acumulată poate deveni resimțită mai intens. Este important să îți organizezi programul și să îți oferi pauze reale.
Bani – Ai capacitatea de a pune ordine în finanțe și de a identifica soluții eficiente pentru economii sau investiții mici.
Citește mai departe pe Click!
*Informaţiile din acest articol nu au bază ştiinţifică.
-
Actualitateacum 2 zile
Diana Buzoianu anunță un buget mai mare pentru Programul Rabla în 2026 și accent pe mașinile produse în Europa
-
Actualitateacum 3 zile
Pariul pentru independență al Kievului. Compania Fire Point vrea să spargă monopolul tehnologic al SUA cu „zeci de sateliți” și rachete autohtone
-
Breakingacum 3 zileNetanyahu: „Vom menține Ierusalimul sub suveranitate israeliană pentru totdeauna”
-
Breakingacum 2 zileRăzvan Pîrcălăbescu, șeful Romarm, întâlnire cu Simion la BSDA. Declarații explozive: „Romarm este compania tuturor românilor”
-
Actualitateacum 2 zile
Liderul UDMR, Kelemen Hunor: „Poate că vom intra în opoziţie. Pe mine nu mă sperie aşa ceva”
-
Actualitateacum 3 zile
Ilie Bolojan vs. Marcel Ciolacu – Administrația Prezidențială clarifică cine a propus reformularea cheie pentru miliardele din apărare
-
Actualitateacum 2 zile
Capcana în care pică mulți utilizatori Tinder: cum le scade, fără să-și dea seama, stima de sine
-
Breakingacum o ziIon Cristoiu: „Mirabela Grădinaru și Olena Zelenska au semnat un memorandum prin care universitățile românești se angajează să studieze istoria, limba, cultura Ucrainei”





